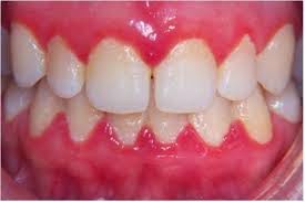
Cause gengive gonfie
rigido che vive grazie ad una struttura complessa formata dalla polpa, la
radice e i diversi nervi a cui è collegato. Quando proviamo dolore non è la
superficie bianca dura a farci sentire il fastidio ma la polpa che lo circonda
e in particolare la gengiva, lo strato protettivo su cui è visibile la fessura
di inserimento del dente.
proprio dall’accumulo di batteri, residui di cibo e acidi che provocano una
micro infezione che irrita e gonfia la parete molle esterna dal dente. Inoltre,
altri due elementi che possono provocare fastidio sono il tartaro e la placca.
Il tartaro è l’insieme dei depositi minerali che si formano attorno al dente,
il loro accumulo non può essere tolto con lo spazzolino e deve intervenire
l’estetista che usa un particolare strumento elettrico. Il tartaro non rende
solo antiestetico il nostro sorriso, ma crea l’ambiente adatto per i batteri e
per la possibile carie che ricordiamo non parte soltanto dalla parte superiore,
ma anche dalla parte interdente, quindi vicinissimo alla polpa. Tra il tartaro
e la superficie del dente si crea un microspazio che diventa habitat per i batteri
che quindi da una parte rodono il dente e dall’altra creano infezione sulla
parte molle causando la cosiddetta gengivite, quindi le gengive gonfie.
è soltanto l’esistenza di batteri a infastidire la parte molle della nostra
bocca. Ad esempio un uso scorretto dello spazzolino o un dentifricio troppo aggressivo
può causare il rigonfiamento delle parti molli. Altri elementi che possono
causare le gengive gonfie sono legate alla sensibilità ai cibi caldi o freddi,
acidi o irritanti, alla mancanza di alcune sostanze nutritive.




