Taggato: carie

0

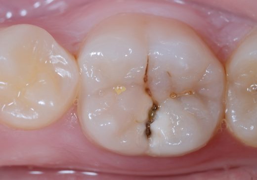
Carie

In Italia l’80- 90% degli individui è affetto da carie Nonostante le cure e le misure preventive attuabili per evitare le carie dentali, il 70% dei denti si perde in seguito alla formazione di...

0

Polpa dentale

Cos’è la polpa dentale? La polpa dentale è un tessuto connettivo-vascolare che occupa la cavità centrale del dente. Viene fatta una distinzione tra due tipi di polpa dentale; abbiamo una polpa coronale e una...

demi moore senza incisivi 0

Denti rovinati

Denti rovinati: cause e prevenzione Le cause dei denti rovinati sono molteplici. Succede anche alle attrici più belle e più brave di Hollywoòd di ritrovarsi sdentate, come a Demi Moore: un suo selfie, diventato...

0

Come curare la carie?

Togliere, pulire e riparare sono le tre azioni principali che si eseguono per curare la carie, un processo di erosione del dente prodotto dal proliferarsi dei batteri che possono arrivare anche a colpire radice...

0

Cibo per denti sani: cibi che fanno bene ai denti

Cosa mangiare per mantenere un sorriso smagliante? Come aiutare denti e gengive a mantenersi sani? Noi di DentiBlog.net vi proponiamo di seguito 10 cibi che fanno bene alla vostra salute dentale, salvaguardando non solo...

0

Come tenere puliti i denti?

Sei italiani su dieci non vanno dal dentista. Il risultato è : bocche sempre più rovinate un preoccupante 10% di popolazione che soffre di edentulismo (mancanza totale di denti). Questo è quanto emerge da...

0

Prevenire la carie con l’olio di cocco

La prima cosa a cui si pensa davanti al cocco è che sia troppo dolce per i denti. Invece secondo studi accurati sembra che nell’olio di cocco sia presente una molecola che sarebbe in...

0

La carie dentale

La carie dentale è uno dei problemi più comuni che attacca in maniera diretta i nostri denti con una perdita progressiva di calcio e dei tessuti duri del dente stesso; le cause, ancora non...

0

Sunstar GUM

Si è chiuso con grande successo il concorso Sorridi, sei su Sunstar GUM! Le foto dei sorrisi più apprezzati verranno pubblicate sul sito, http://www.gum-ortho.it, e sulla pagina facebook, http://www.facebook.com/quellichegum. Continua comunque l’impegno di Sunstar...

0

Scegliere il dentifricio giusto

Quale dentifricio scegliere nella marea di prodotti in vendita? “Quello che vi piace di più” è la risposta di gran parte dei dentisti, perchè l’importante è usarlo e lavarsi spesso i denti. L’utilizzo del...

0

Cosa è la carie?

Cosa è la carie? Come spunta la carie? Queste domande se le pongono in molti dei nostri lettori e noi di dentiblog.net abbiamo pensato di rispondere a tutti con un articolo chiarificatore.   La...

0

La devitalizzazione

Una carie trascurata può rendere necessaria la devitalizzazione del dente. Se entra, infatti, in profondità può andare ad intaccare la polpa dentaria, dove si trova la parte “viva” del dente. Altre cause di infiammazione...

0

Sbiancatura dei denti

A causa del consumo di caffè, di tè o del fumo i denti tendono ad ingiallirsi. Come sbiancarli, dunque, senza ricorrere a procedimenti costosi? Esistono una serie di metodi naturali che permettono di ottenere...