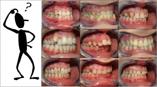
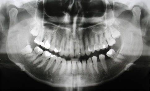
Modelli dentali
I modelli dentali sono delle riproduzioni di arcate dentali. È possibile distinguere i modelli in: modelli da archivio: fissa un momento clinico irripetibile in senso diagnostico e storico. Tale manufatto accuratamente elaborato entra nella...



