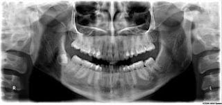
Panoramica dentale
esegue tramite radiografia e che permette di mostrare in maniera precisa e
approfondita i denti, l’arcata superiore e inferiore e tutta la mandibola in
generale.
quanto permette, per quei casi difficili, di trovare la soluzione migliore per
la cura dentaria. La panoramica dentale
si ottiene utilizzando uno specifico strumento che prende il nome di ortopantomografo, costituito da un
braccio orizzontale nel quale deve essere posizionata la nuca del paziente. In
questo modo i raggi X attraversano
le diverse componenti dentarie e proiettano l’immagine su di una pellicola.
Tutto il processo dura solo qualche minuto.
tecnica per ottenere la panoramica dentale completa si basa invece su una
tecnologia digitale, che utilizza sensori elettronici e che viene guidata direttamente
da un computer. Questo permette di evitare che il paziente sia esposto
direttamente ai raggi X, considerati dannosi per la salute umana. Le immagini
prodotte sono di gran lunga migliori e con ulteriori apparecchi è possibile
generare anche immagini in 3D.
panoramica dentale è impiegato non
solo per le cure del cavo orale ma anche per valutare la presenza di lesioni
ossee.




