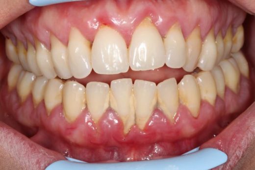
Parodontologia: cosa riguarda?
La Parodontologia è un ramo dell’Odontoiatria, che si occupa dello studio delle malattie che riguardano la bocca ed in modo particolare dei denti. Il parodonto è costituito da : gengiva; osso alveolare; cemento radicolare...

 
                               
                               
                               
                               
                               
                               
                               
                               
                               
                               
                               
                               
                               
                               
                               
                               
                               
                               
                               
                               
                               
                               
                               
                               
                               
                               
                               
                               
                               
                               
                               
                               
                               
                               
                               
                               
                               
                               
                               
                               
                               
                               
                               
                               
                               
                               
                              


 
																											 
																											 
																											 
																											 
																											 
																											 
																											